青少年运动后胸痛别忽视!警惕“走错门”的冠状动脉



心血管疾病诊疗中心 > 新闻   阅读:12 次

近日,15岁高中生小张(化名)在体育课跑完1000米后,突发剧烈胸痛并伴随头晕,校医紧急处置后,立即联系家属将其送往我院就诊。经急诊科快速处置、心血管内科精准诊断,小张最终被确诊为先天性冠状动脉异常起源。这一案例提醒广大家长和青少年,运动后的胸痛绝非“累着了”那么简单,若出现相关症状需及时就医,急诊绿色通道能为青少年心脏急症提供快速保障,避免延误病情。



异常信号:运动后胸痛背后藏隐患

喜欢打篮球的小张,近几个月运动后常出现胸口闷痛,休息后可缓解,他和家长起初并未在意,误以为是运动过量、身体劳累所致。直到此次体育课,小张跑完1000米后,胸痛突然加剧,伴随头晕、乏力,无法正常站立,校医发现情况危急,立即联系家属将其送往我院,我院急诊科接诊后,快速调度、全程开通绿色通道,迅速完善心电图、抽血等基础检查。

检查结果很快出炉:小张的肌钙蛋白明显升高——这一指标在成年人中多提示心肌梗死,而无基础病史的青少年出现该情况,急诊紧急联系心血管内科专家前来研判,为后续精准诊断争取了宝贵时间。

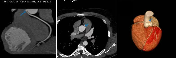
真相大白:“走错门”的冠状动脉

心血管内科专家结合小张的检查结果,立即为其安排冠状动脉CTA检查,谜底终于揭开:小张的右冠状动脉开口异常,本应从右冠窦开口的血管,与左冠状动脉挤在了左冠窦。正常情况下,冠状动脉像两顶小帽子覆盖心脏表面供血,而小张的右冠状动脉需绕过大弯,易被主动脉和肺动脉“夹住”。运动时心脏收缩、血管扩张,这根血管会被进一步压迫,导致心肌缺血,引发胸痛、头晕,反复缺血还会造成心肌细胞损伤,使肌钙蛋白升高。

科学解读:病症风险与应对方法

冠状动脉异常起源是一种先天性心脏结构异常,人群中每1000人就有5至15人存在这种变异,多数人终身无症状,但少数血管走行特殊者,剧烈运动时可能面临严重风险。对于有胸痛、肌钙蛋白升高等症状的患者,需评估手术干预,无症状者则建议定期随访、避免竞技性运动。

青少年运动后出现胸痛、胸闷、头晕等症状,切勿简单归为“体质差”。家长应及时带孩子到心内科检查,心脏超声可初步排查,冠状动脉CTA则是明确诊断的金标准。在确诊前,建议暂停高强度竞技运动,防范风险。小张的案例警示我们,青少年心脏健康不容忽视,及时发现、科学干预,才是守护孩子成长路上的健康防线。


关注订阅号 了解更多咨询

搜索医生
+
寻找适合您的医生,评估您的医疗需求。
预约挂号
+

微信扫码预约

您可致电24小时服务中心(96120)预约医生。
联系我们
-
24小时服务电话
96120
投诉信箱
csc@hq.gwmc.cn
胸部肿瘤放化疗Ⅰ疗区 Chest tumor Radlotherapy and Chemotherapy Ⅰ Treatment Area
胸部肿瘤放化疗Ⅱ疗区 Chest tumor Radlotherapy and Chemotherapy Ⅱ Treatment Area
乳腺疾病诊疗中心 Breast Disease Diagnosis and Treatment Center
头颈肿瘤放化疗疗区 Head and Neck Tumor Radlotherapy Chemotherapy Treatment Area
消化道肿瘤放化疗Ⅰ疗区 Gastrointestnal Tumor Radotherapy Chemotheapy Ⅰ Treatment Area
放射治疗中心 Radiotherapy Center
妇科放化疗 Interventional therapy
介入治疗科 Interventional Therapy Center
淋巴瘤/血液病科 Lymphoma / Hematological Disease
甲状腺外科/肝胆胰/腹膜后软组织外科 Hepatobiliary Pancreatic / Retroperitoneal Surgery
结直肠肛门外科 Colorectal and Anal Cancer Surgery
耳鼻喉头颈外科 Otolaryngology Head and Neck Radiotherapy Surgery
泌尿外科 Urology Surgery
胃肠外科 Gastrointestinal Surgery
神经外科 Department of Neurosurgery
胸外科/肺结节诊疗中心 Thoracic Surgery
产科 Obstetrics Department
骨科 Orthopaedics
妇科 Gynaecology
儿科 Pediatrics
呼吸内科 Respiratory Medicine
消化内科/中医科 Gastroenterology/Traditional Chinese Medicine
脑血管病中心 Cerebrovascular Disease Center
内分泌风湿免疫内科 Department of Endocrine Rheumatology and Immunology
肾病中毒内科 Internal Medicine Department of Nephrosis
心血管疾病诊疗中心 Cardiovascular Medicine Center
96120急救中心 First Aid Centre 96120
健康体检中心 Health Examination Center
医学影像中心 Medical Imaging Center
临床检验中心 Clinical Testing Center
核医学科 Nuclear Medicine Department
内镜中心 Endoscopy center
电诊科 Electrodiagnosis Department
ICU ICU
病理科 Pathology Department
皮肤科 Dermatology
手术中心 Operation Center
康复中心 Rehabilitation Center
月子会所 Maternity hotels
中医科 Traditional Chinese Medicine department



Copyright © 2017 by CopyGuowen medical .co. All rights reserved     吉公网安备 22038102000293号  吉ICP备18000181号