近日,国文医院淋巴瘤科团队凭借精准化诊疗方案与丰富的临床经验,成功为一名胃部存在10厘米巨大溃疡包块的弥漫大B细胞淋巴瘤患者解除病灶危机,助力患者重获新生,得到家属和患者本人一致认可。
呕吐厌食,元凶竟是10厘米肿瘤
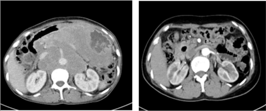
两年前,张阿姨(化名)的生活被一场突如其来的疾病打乱。持续地恶心、呕吐,整整一个月几乎未进食。在家人的陪伴下,来到国文医院进行全面检查。胃镜结果和腹部CT带来了一个沉重的消息:胃部弥漫大B细胞淋巴瘤,并且已形成一个直径约10厘米的巨大包块。这不仅仅是一个肿瘤,更是一枚“不定时炸弹”。因为淋巴瘤的侵犯,张阿姨的胃壁已经形成了巨大溃疡,随时可能引发消化道大出血或穿孔,性命危在旦夕。
专业团队制定“化险为夷”之战术
面对如此复杂棘手的病例,国文医院淋巴瘤科团队迅速启动了高水平的诊疗机制。为了给张阿姨制定安全且有效的方案,科室特别邀请了北京专家远程会诊。
“患者的情况非常特殊,巨大的溃疡使得常规化疗的首次冲击就可能成为“压死骆驼的最后一根稻草”——导致穿孔。”淋巴瘤科边主任解释道。为此,团队为张阿姨量身定制了“分步拆弹,稳中求胜”的个性化治疗方案。
第一个化疗周期,团队采取了极其谨慎的“分次给药”策略,如同拆弹专家先小心翼翼地剪断几根次要引线,观察反应,以最大限度地降低肿瘤快速坏死所导致的出血和穿孔风险。同时,在前四个周期的化疗中,使用了R-CHOP方案的改良版,特意去掉了对胃肠道刺激较大的激素类药物。这一精细的调整,再次体现了团队“因人施治”的至高理念。

溃疡消失,乘胜追击
精密的策略迎来了胜利的曙光,四周期治疗后复查胃镜,原有的巨大溃疡已完全消失。肿瘤得到有效控制,穿孔风险解除!在此基础上,后续的四个周期治疗调整为标准的R-CHOP方案,乘胜追击,力求彻底清除病灶。
历经八个周期的规范化疗,最终的评估结果让所有人欢欣鼓舞:张阿姨的病情在影像学检查上显示肿瘤已消失。
重生之光:两年随访,生活如常
如今,两年过去了,张阿姨定期返院复查,结果一直保持良好。她恢复了正常的饮食和生活,脸上重现了往日的笑容,享受着天伦之乐。
张阿姨的成功案例,是国文淋巴瘤科个体化精准医疗与多学科协作(MDT)理念的完美体现。面对高危、复杂的淋巴瘤患者,科室不仅拥有与国际接轨的化疗方案和药物,更具备处理各种疑难并发症的丰富经验和应急预案。特别是与北京专家团队的常态化协作,使科室能够整合国内顶尖的医疗资源,为吉林省乃至东北地区的患者提供最优质的诊疗服务。
微信扫码预约

吉公网安备 22038102000293号 吉ICP备18000181号